Midede 143 paket kokain

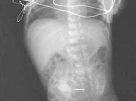
Viyana havaalanında uyuşturucu kaçakçılığı zanlısı bir Kosta Ricalının, midesinde 143 paket kokainle yakalandığı bildirildi.

Midede 143 paket kokain

Avusturya polisi, Kosta Ricalı zanlının midesinde yaklaşık 1 kilogram ağırlığındaki 143 paket kokainin X-ray cihazında tespit edildiğini kaydetti. Kosta Rica’nın başkenti San Jose’den Fransa’nın başkenti Paris’e, oradan da Viyana’ya uçan uyuşturucu kaçakçısı zanlının, yetkililere, uyuşturucu için kendisine ödenecek miktarın 2 bin dolar olduğunu söylediği belirtildi.
<< Önceki Haber Midede 143 paket kokain Sonraki Haber >>

Haber Etiketleri:  
ÖNE ÇIKAN HABERLER